Módulo: Sessão de Casos - Discussão/P...
Módulo: Sessão de Casos - Discussão/Perguntas
Discussão de Caso Multimodal RX + US
Caso de RM
Caso de Raio X
Caso de Ultrassonografia
Caso de Tomografia
Discussão de Caso Multimodal TC + RM
Discussão de Caso Multimodal US + TC
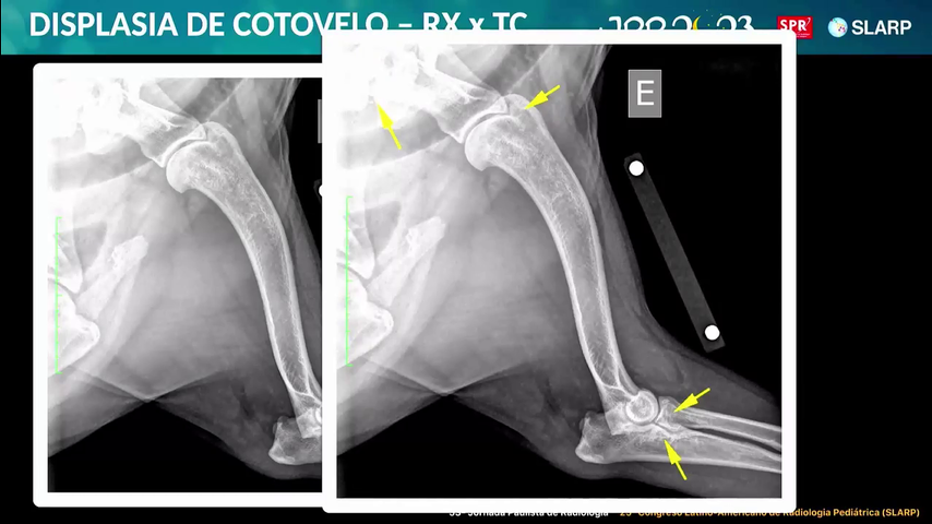
Discussão de Caso Multimodal RX + TC ...
Discussão de Caso Multimodal RX + TC - Displasia de Cotovelo